24

周四

201910

>

 快讯

  • 汤臣倍健牵头制定行业首个rTG鱼油品质分级团标

    近日,中国水产科学研究院黄海水产研究所、中国营养保健食品协会研发专业委员会、汤臣倍健牵头起草的《再酯化甘油三酯型(rTG)鱼油软胶囊产品分级规范》由中国营养保健食品协会正式发布。据悉,该标准从“构型”与“新鲜度”两大维度,构建了科学清晰的rTG鱼油品质分级体系。

    4小时前
  • 微康益生菌正式递表港交所

    4月29日,微康益生菌向港交所正式递交主板上市申请书,国泰海通担任独家保荐人。财务数据显示,2023年至2025年,公司的营收分别为4.96亿元、5.44亿元和7.01亿元,逐年递增。公开资料显示,微康益生菌专注于益生菌菌种的研发、生产及销售,为下游的功能食品、膳食补充剂、乳制品及农业领域提供高活性、高稳定性及功能性的益生菌菌粉、益生菌制剂及乳品发酵剂。根据弗若斯特沙利文数据,按2025年益生菌原菌粉产量计算,微康益生菌在全球排名第三,亚洲及中国市场位列第一。

    4小时前
  • 天猫6.18将于5月21日开启

    日前,天猫公布“6.18”大促节奏。5—6月,平台将对“520告白季”和“6.18”两档大促加大投入,天猫“6.18”定于5月21日开启预售。玩法方面,两场大促均采用官方立减优惠方式。在整个周期内,天猫将发放重磅消费券,并叠加平台加补券、店铺限时红包、淘金币等投入。同时,“6.18”消费券会继续加码,商家可以提前备齐爆款库存、保障客服物流能力,集中冲刺增长。(北京商报)

    4小时前
  • 伊利2025年净利润同比增长36.82%

    4月29日,伊利股份发布2025年年报及2026年一季报。公司2025年实现营业总收入1159.31亿元,归母净利润115.65亿元,同比增长36.82%。今年也是伊利股份上市30周年。30年来,从“街道小厂”到“亚洲第一”,再到“全球第一阵营”,公司营收增长超500倍,盈利规模跃升超700倍,市值提升近400倍。根据报告,其婴幼儿营养品业务营收实现双位数增长。

    4小时前
  • 三只松鼠一季度净利润同比增长超14%

    4月28日,三只松鼠披露年报,2025年公司实现营业收入101.89亿元;实现净利润1.55亿元。一季报显示,2026年一季度,三只松鼠实现营业收入38.35亿元,同比增长3.01%;归母净利润2.73亿元,同比增长14.35%。

    4小时前

 母婴行业观察

一场大病可以消磨掉一个人所有的志向

产业

关关

阅读数: 765

( 0 )

( 0 )

( 0 )

2026-04-30 12:09

1.jpg

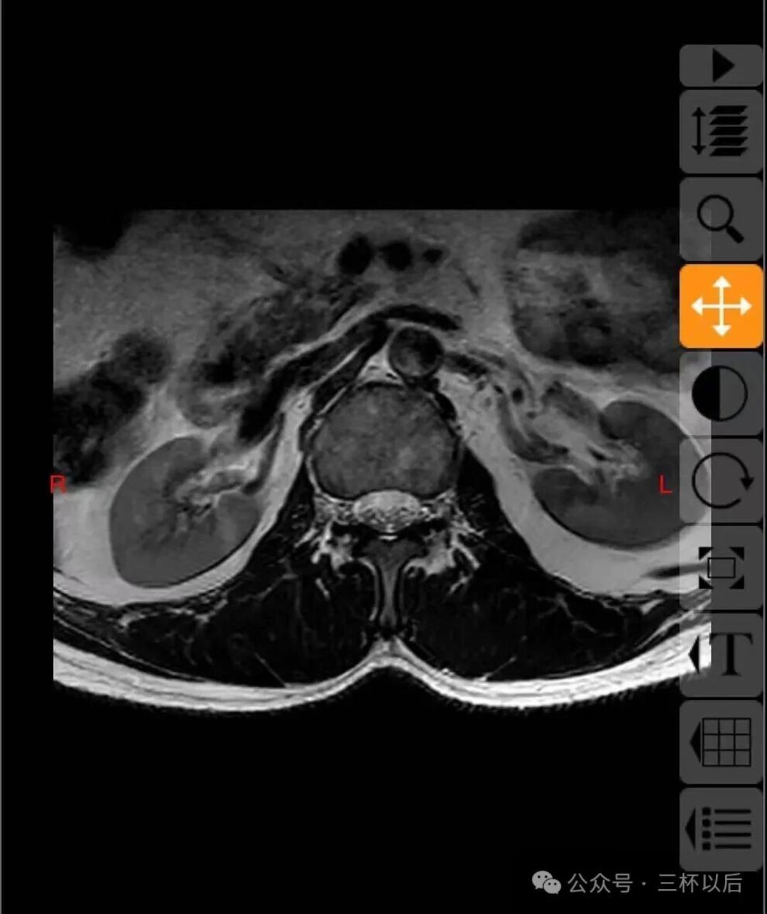
导读:今天又去复查了,前段时间挂了号,医生还要拍摄X光,我说别拍了,拍了也没用,你们总是说大方向没问题的,但是细节不知道,还要说做核磁检查,干脆做直接做核磁吧。医生说,那需要排队,我说排队就排队了,这两年每次到关键时刻,你们总是说细节看不清楚,看不清楚做什么X光。


前两天排队做了核磁检查,今天又挂了号让医生给看下,结论腰是有问题,不过没有大问题,避免久坐,久站,做核心力量训练。我问可以打羽毛球,跑步,游泳吗?说可以,不影响。不过我的印象中,之前腰疼的时候打羽毛球,晚上8—10点,结束之后,一晚上疼的没怎么睡好,从那之后就暂别了打了十年的羽毛球运动。


问做什么可以恢复?做做核心力量锻炼可以代偿,但是也恢复不了,如果不影响生活就这样,如果影响生活就做个手术,打一针消融掉就可以了,不过需要住院一天,恢复到什么时候就不知道了。还有就是往后也要注意,不注意可能还会复发。


心里多少踏实一些,自从2024年10月份开始腰疼,到现在已经一年半了,现在腰疼真的是如影随形的,心里总是嘀咕,严肃医疗,江湖郎中,各种办法都用了,心里想着是不是可以治愈,恢复到以前的正常状态,现在看是不现实的,即便是我努力加强运动也只是代偿,仅此而已。


今天看完医生,把片子全部发给我一个朋友,他身边有个国家级的专家,再给看下,主要是想了解,是不是还有可以提升的方面或者说哪些不能做,再确认下,后面就剩下执行了。


我说的是我腰疼的事情,虽然拍完片子看没有那么严重,不过确实影响了我,连续三周没有出差,就是想好好养养,好好查查。这段时间不少差要去的,都没有去,主要是觉得身体难受,其他的都不重要了。


我这不是什么大病都有这样的影响,可见一场大病对人的影响有多大了。去年我去一个同学的城市出差,他来找我一起吃饭聊天,我问他好像两年了没怎么看到你上课啥的,他看了我一眼说,做了个手术,缓了一年多。我说这是大动作了,他说可不是,现在啥也不想了,就是想多陪陪家人,多爱惜自己。


一场大病真的可以消磨掉一个人所有的志向,你现在还有欲望是一件幸福的事情,说明还有动力,还有奔头,人活着有奔头那还是目标,没奔头人就差不多打完收工了。


有事干,有钱赚,做自己喜欢的事情一直做到死,那是一件幸福无比的事情。健康是1,其他的都不算数,说实话,今天看到片子复查之后,心里多少轻松放心了一些,现在注意还不算晚。


顺便贴一下拍的片子,如果有懂行的欢迎给我建议,我听劝的。真真希望能恢复如初,现在每天都能感受到疼痛,用了各种办法也不管用。


文章来源:母婴行业观察




版权声明:转载母婴行业观察的原创文章,需注明文章来源以及作者名称。公众号转载请联系开白小助手(微信号:zhangxiaoxian1015)。违规转载法律必究。


扫描二维码,第一时间获取母婴行业的资讯和动态。
从此和母婴行业观察建立直接联系。

参与评论

登录后才可以留言!

本栏目文字内容归myguancha.com所有,任何单位及个人未经许可,不得擅自转载使用。

Copyright © 母婴行业观察 |  京ICP备12043030号-6